
微信扫一扫
关注公众号
微生物分析中的FISH技术与探针设计
发布时间:2023-11-16 11:14 | 点击次数:7679
微生物的准确鉴定和定量分析对于环境科学、医学和食品安全等领域至关重要。在微生物学领域中,核糖体RNA(rRNA)靶向寡核苷酸探针荧光原位杂交FISH(Fluorescence In Situ Hybridization)是最常用的技术之一。由于其快速和敏感的特点,该技术被认为是微生物学系统发育、生态学、诊断和环境研究的强大工具。
用于微生物分析的FISH方案
样品制备
从待分析的样品中获取微生物细胞,并通过固定化处理来保持细胞的形态和结构完整性。杂交之前,必须对细菌进行固定和透化,以允许荧光探针渗透到细胞中并保护RNA免受内源性RNA酶的降解。
探针设计与标记
设计特异性的亲核酸探针,靶向微生物核糖体RNA(rRNA)序列。这些探针通常被标记为荧光染料,以便在显微镜下进行可视化。
杂交和洗涤
将标记的探针与样品中的微生物细胞一起孵育,在特定的温度和盐度条件下,使探针与目标rRNA序列发生特异性结合。通过多次洗涤去除非特异性结合的探针,以提高检测的特异性和灵敏度。
显微镜观察
将样品放置在显微镜下进行观察,并使用荧光显微镜来检测探针的荧光信号。通过分析荧光信号的强度和位置,可以确定微生物的存在和数量。
微生物FISH的靶标选择
rRNA作为FISH靶标
在微生物学中,核糖体RNA(rRNA)是荧光原位杂交(FISH)的主要靶分子。
原核细胞的核糖体中,小亚基(SSU)含有约1600个核苷酸的16S rRNA,在大亚基中含有约3000个核苷酸的23S rRNA和约120个核苷酸的5S rRNA。由于每个细胞含有许多核糖体,这些目标分子会自然扩增到每个细胞数百到100,000个的数量,从而增加荧光强度。
随着rRNA序列的开发和公共数据库中的积累,越来越多地使用核糖体RNA(rRNA)靶向探针。使用rRNA靶向探针的FISH已成为临床诊断中的重要生物技术工具。
最常用的靶标——16S rRNA
16S rRNA是最常用的靶标,因为它具有遗传稳定性以及可变且高度保守的序列结构域。rRNA 靶向探针已被用作从门到物种水平的目标细菌。16S rRNA基因为鉴定大多数微生物提供了最大的便利性和准确性。每个复制和代谢活跃的细胞中,16S rRNA的高拷贝数通常提供足够的目标来可视化单个细菌细胞。
靶向16S rRNA的细菌探针
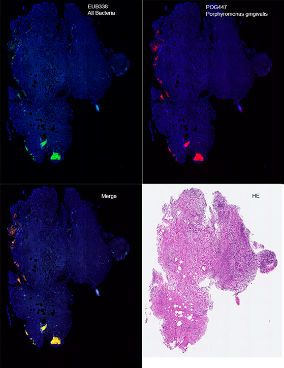
16S rRNA靶向细菌探针EUB338最初开发用于使用流式细胞术分析混合微生物种群。该探针能够检测广泛的细菌细胞,并在使用FISH的所有分析中用作阳性对照。它通常与物种或属特异性探针结合。此外,为了排除假阳性的杂交/荧光信号,EUB338的互补序列(称为非EUB)被用作阴性对照。
科研人员已经审查了16S rRNA靶向探针的局限性,并且已经开发了两种探针EUB338-II和EUB338-III,针对EUB338未能覆盖的细菌群。这些改进的探针进一步提高了细菌鉴定的准确性和特异性。
rRNA探针设计
探针设计是一个关键的步骤,设计的选择必须基于特异性、敏感性和易于穿透组织和/或细胞。已发表的探针可以在“probeBase”上找到,通过生物体名称、探针名称或直接从列表中获取。
要从16S rRNA设计FISH探针,必须从GenBank或欧洲核糖体RNA数据库以及RDP等数据库中找到感兴趣的细菌物种或属的序列。可以使用专门的软件工具进行探针设计,例如ARB-Silva软件包或Primer3Plus网络工具。特异性和杂交条件可以分别在ProbeCheck和MathFISH上进行检查。对于新开发的探针,可以通过测试一系列的探针、甲酰胺和盐(阳离子)浓度来调整杂交条件。
常见的rRNA FISH探针
在微生物分析中,常用的FISH探针包括广谱探针、物种特异性探针和功能探针。
安必奇提供各种CABR®细菌检测探针产品
| CABR® 细菌检测探针 |
目标微生物 |
| EUB338 Probe |
所有真细菌 |
| ALF1B Probe |
α蛋白细菌 |
| BET42a Probe |
β蛋白细菌 |
| GAM42a Probe |
γ蛋白细菌 |
| D660 Probe |
脱硫叶菌属 |
| ARCH915 Probe |
所有古细菌 |
| MB1174 Probe |
产甲烷八叠球菌 |
| MT757 Probe |
产甲烷丝菌 |
下面是这些类型探针的原理说明和一些具体的探针名称:
广谱细菌探针
广谱探针用于检测细菌或古菌的存在,能够覆盖较广的微生物种类。这些探针通常针对16S rRNA的高度保守区域进行设计。使用EUB338和ARCH915探针,研究人员可以在复杂微生物群落中对细菌和古菌进行特异性的检测。这对于了解微生物在生态系统中的分布、相互作用和功能具有重要意义。
(1)EUB338探针
广泛应用的细菌广谱探针,EUB338探针的目标序列是16S rRNA。在FISH实验中,EUB338探针通常与荧光染料如草酰菁(Cy3)或草酰胺(Cy5)标记,以便在显微镜下可视化。安必奇提供各种CABR®细菌检测探针产品,包括EUB338等其他种类,详情可咨询后台。
广谱细菌探针EUB338可用于检测和识别广泛范围的细菌,包括不同门(Phylum)和属(Genus)级别的细菌。它提供了一种有效的方法来了解复杂微生物群体的组成。
EUB338通常与物种或属特异性的探针结合使用,以进一步提高鉴定的准确性。通过组合使用特异性和广谱的探针,可以更精确地确定特定细菌的存在和相对丰度。
(2)ARCH915探针
适用于检测古菌的广谱探针,靶向16S rRNA的古菌V3区域。
物种特异性探针
物种特异性探针用于鉴定和定量特定微生物物种。这些探针针对目标微生物的特定rRNA序列区域进行设计,以确保高度特异性的结合。可用于研究环境样品中的微生物群落结构
-
ALF1b探针:用于α-变形菌属(Alphaproteobacteria)的特异性探针,基于16S rRNA的特定区域。
-
BET42a探针:用于β-变形菌属(Betaproteobacteria)的特异性探针,基于23S rRNA的特定区域。
-
GAM42a探针:用于γ-变形杆菌属(Gammaproteobacteria)的特异性探针,基于23S rRNA的特定区域。
功能特异性探针
功能探针用于检测具有特定生态功能的微生物。这些探针针对目标微生物的功能基因进行设计,以揭示其在生态系统中的存在和活性进行检测和定量。
-
甲烷氧化酶基因(pmoA)探针:用于检测和定量甲烷氧化细菌(Methanotrophs)的存在和活性。
- 亚硝酸氧化酶基因(amoA)探针:用于检测和定量亚硝酸氧化细菌(AOB)和亚硝酸氧化古菌(AOA)的存在和活性。
此外,还有氮固定酶基因(nifH)探针、硝化酶基因(narG、nxrA等)、磷酸化酶基因(phoD)探针、硫酸还原酶基因(dsrA)探针等。
微生物FISH的应用
当涉及微生物分析时,FISH技术(荧光原位杂交)和探针设计在许多方面都发挥着重要作用。以下是FISH技术和探针设计在微生物分析中的一些具体应用:
(1)环境微生物学研究
FISH技术可以应用于环境样品中的微生物分析,如土壤、水体、生物膜等。通过使用特定的探针,可以研究微生物在不同环境中的分布和生态功能。
(2)病原微生物检测
FISH技术可以用于快速检测和鉴定病原微生物,如细菌、真菌或寄生虫。通过选择特异性的探针序列,可以在临床样本中迅速确定病原微生物的存在与种类。
(3)环境微生物物种鉴定和定量
使用特异性的FISH探针针对目标微生物的16S/18S rRNA进行标记,以直接在环境样品中鉴定和定量目标物种的存在。
(4)群落结构研究
通过使用多个不同的荧光标记的探针,FISH技术可以同时检测和区分微生物群落中的多个物种或菌群。通过评估不同探针的荧光信号,可以了解微生物群落的组成和相对丰度。
安必奇 · 微生物FISH探针产品 北京安必奇生物多年来从事FISH探针研发工作,我司提供CABR®细菌检测探针。
CABR®细菌检测探针以微生物中较稳定的rRNA (主要是16S和23S) 作为目标,以rRNA序列设计探针进行杂交,对待检测的微生物分布情况和特征性的微生物进行鉴定与定量分析,提供微生物形态学、空间分布和生物体的细胞数量等信息。

安必奇探针产品
特色产品 · EUB338 Probe
EUB338 Probe以微生物中较稳定的rRNA (主要是16S和23S) 作为目标,以rRNA序列设计探针进行杂交,对待检测的微生物分布情况和特征性的微生物进行鉴定与定量分析,提供微生物形态学、空间分布和生物体的细胞数量等信息。
我们还提供其他细菌检测探针:| CABR® 细菌检测探针 |
目标微生物 |
| EUB338 Probe |
所有真细菌 |
| ALF1B Probe |
α蛋白细菌 |
| BET42a Probe |
β蛋白细菌 |
| GAM42a Probe |
γ蛋白细菌 |
| D660 Probe |
脱硫叶菌属 |
| ARCH915 Probe |
所有古细菌 |
| MB1174 Probe |
产甲烷八叠球菌 |
| MT757 Probe |
产甲烷丝菌 |
特色产品 · CABR®全染色体涂染探针(CARB® WCP)
安必奇为不同物种(包括人类、小鼠和大鼠)提供全染色体探针。所有探针都直接标记并准备在杂交缓冲液中使用。CARB® WCP探针来自于流式细胞仪分检的染色体片段DNA文库。这些文库中的序列可以伸展检测整个染色体以及覆盖每一条人类染色体,是分析分裂中期染色体结构异常的有利工具。
CABR®人类染色体探针
| CABR® 全染色体涂染探针 |
CABR® 着丝粒探针 |
CABR® 亚端粒特异探针 |
| CABR® 卫星枚举探针 |
CABR®动物探针
| 小鼠 |
大鼠 |
牛 |
猪
|
选择北京安必奇,您将获得:
-
高性能:高特异性和灵敏度,高信噪比,低交叉反应性。
-
多场景应用:适用于中期染色体涂片、石蜡包埋和冷冻组织。
-
即用性:预混合在杂交溶液中即可使用。
-
严格质量控制
-
定制探针服务
参考文献:
Elsa Prudent, Didier Raoult, Fluorescence in situ hybridization, a complementary molecular tool for the clinical diagnosis of infectious diseases by intracellular and fastidious bacteria, FEMS Microbiology Reviews, Volume 43, Issue 1, January 2019, Pages 88–107,
Bottari, B., Ercolini, D., Gatti, M. et al. Application of FISH technology for microbiological analysis: current state and prospects. Appl Microbiol Biotechnol 73, 485–494 (2006).









